DOCTEUR ARIANE MILOST VAAST
Chirurgien-dentiste qualifié en Orthopédie dento-faciale
DOCTEUR ARIANE MILOST VAAST
Chirurgien-dentiste qualifié en Orthopédie dento-faciale

3 Bis Boulevard Victor Hugo
06130 GRASSE

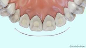
Fil de contention


video-play-icon

Articles similaires

Création par Webdentiste

Connexion